Nuestra unidad Planmeca ProMax® 3D Classic cubre toda la dentadura, lo que la convierte en una excelente opción para las necesidades de imágenes 3D del arco dental completo.
TAMAÑOS DE VOLUMEN
• Volumen máximo con un solo escaneo
Ø8 x 8 cm
• Volumen ampliado con un solo escaneo
Ø11 x 8 cm
• Volumen máximo con varios escaneos horizontales
15 x 10 x 8 cm
Planmeca Ultra Low Dose™ es una forma única de capturar imágenes CBCT con dosis al paciente comparables o incluso inferiores a las empleadas para obtener imágenes panorámicas, como han demostrado diversos estudios científicos. El protocolo de obtención de imágenes puede emplearse con todos los modos de obtención de imágenes y tamaños de vóxel.



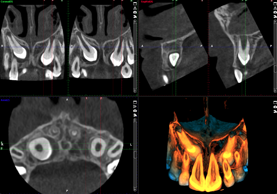
Canino impactado
Volumen 8 x 8
Implante con corona
El movimiento de los pacientes es un reto importante para la calidad de la imagen, pero el algoritmo de corrección de movimiento Planmeca CALM® ayuda a eliminar de manera eficaz los artefactos de movimiento de las imágenes CBCT y sale airoso en cada ocasión.
El software de procesamiento de imágenes Planmeca Romexis® es compatible con todas las imágenes 2D y 3D, así como el trabajo CAD/CAM. El software ofrece una amplia gama de herramientas para clínicas dentales de todos los tamaños.
Recibí directamente en tu bandeja de entrada las últimas novedades, ofertas exclusivas y tendencias